

Unsere Leistungen
Unser Leistungsspektrum auf einen Blick:
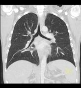
„Normale" Röntgenaufnahmen bilden nach wie vor die Grundlage der Radiologie, insbesondere in der Diagnostik der Lunge und der Knochen sowie der weiblichen Brust (Mammographie). Diese sind auch durch neuere Verfahren nicht zu ersetzen. Bei Intensivpatienten müssen konventionelle Röntgenuntersuchungen in kurzfristigen Abständen, mitunter täglich, angefertigt werden, um den Heilungsprozess zu überwachen bzw. Komplikationen rechtzeitig zu entdecken.
In der modernen Röntgendiagnostik ist die Abbildung auf Röntgenfilmen weitestgehend verlassen, heutzutage werden Röntgenbilder überwiegend mit Hilfe digitaler Aufnahmetechniken erstellt, und von ärztlicher Seite unter Anwendung digitaler Bildbearbeitungsmethoden zur Befunderstellung begutachtet. Die Untersuchung ist schmerzfrei und dauert nur wenige Sekunden. Moderne Röntgengeräte applizieren eine sehr geringe Strahlendosis auf den menschlichen Körper, jedoch sollten aus Strahlenschutzgründen nur medizinisch notwendige Untersuchungen durchgeführt werden. Die medizinische Notwendigkeit der Röntgenuntersuchung findet Ausdruck in der sogenannten „rechtfertigenden Indikation“, die vorab von ärztlicher Seite durch einen fachkundigen Arzt, der in Strahlenschutzaspekten speziell geschult sein muss, gestellt wird. Sehr strahlenempfindliche Organe, wie beispielsweise die Keimdrüsen, können durch Anwendung eines Bleischutzes besonders vor Strahlung geschützt werden.
Konventionelle Röntgenaufnahmen erfolgen überwiegend als standardisierte Aufnahmen. In Abhängigkeit von der Körperregion und von der Fragestellung werden die zu untersuchenden Körperteile in festgelegten Positionen gelagert. Ebenso festgelegt sind der Winkel der Projektion und der Abstand der Röntgenröhre. Diese Standardisierung gewährleistet eine Vergleichbarkeit entsprechender Röntgenbilder. Bei speziellen Fragestellungen reichen diese standardisierten Untersuchungen mitunter nicht aus, hier muss die Aufnahme individuell angepasst werden. Ggf. benötigt man auch heute noch eine Durchleuchtungsuntersuchung.
Zur Anfertigung von Röntgenbildern werden Röntgenstrahlen benötigt, die in einer Röntgenröhre erzeugt werden. Röntgenstrahlen sind in der Lage "weiche" Materialien wie menschliches Gewebe zu durchdringen. Beim Durchtritt der Röntgenstrahlen durch den menschlichen Körper wird ein Teil der Strahlen durch das Gewebe aufgehalten („absorbiert“). Der Anteil der absorbierten Strahlen hängt hierbei von der Dichte des Gewebes (3. Potenz der Ordnungszahl der Atombestandteile). Von Knochengewebe wird ein größerer Anteil an Strahlen aufgehalten als von Fett- bzw. Muskelgewebe oder gar der lufthaltigen Lunge. Deswegen stellen sich Knochen im Röntgenbild hell und Lungengewebe dunkel dar. Bei der konventionellen Röntgenuntersuchung werden alle Anteile des Körpers, die im "Strahlengang" liegen, in etwa gleicher Schärfe auf dem Röntgenfilm abgebildet, unabhängig, ob sie nahe an der Röntgenplatte liegen oder von dieser entfernt sind. Aus einer Aufnahme lässt sich daher nicht sicher feststellen, was vorne oder hinten im Körper liegt. Diese fehlende Dreidimensionale Abbildungsmöglichkeit ist in erster Linie der Grund für den Siegeszug der Modernen Schnittbildverfahren.
Patientenvorbereitung:
Eine Röntgenuntersuchung benötigt im Allgemeinen keine spezielle Vorbereitung durch den Patienten. Es ist lediglich erforderlich, dass das entsprechende Körperteil vollständig entkleidet und Schmuck an entsprechender Stelle abgelegt wird. Bei Aufnahmen im Kopf- oder Halsbereich müssen im Speziellen Zahnteile, Ohrringe, Ketten und Haarspangen entfernt werden.
Wir führen in unserer interdisziplinären Brustsprechstunde Mammografien, Mamma-Ultraschalluntersuchungen, Mamma-MRT, Galaktografien, Duktoskopien, Radiologische und Ultraschall gesteuerte Drahtmarkierungen und Vakuum- und Stanzbiopsien durch. Die enge Zusammenarbeit von Spezialisten der Frauenklinik und der Klinik für Diagnostische und Interventionelle Radiologie und Nuklearmedizin garantiert Ihnen Beratung, Diagnostik und Therapie auf höchstem Niveau.
Die Mammographie ist derzeit neben der klinischen Untersuchung das wichtigste Verfahren zur frühen Erkennung des Mammakarzinoms. Die konstante Bildqualität und die Möglichkeiten der digitalen Bildnachbearbeitung bei der digitalen Mammographie, wie sie bei uns verfügbar ist, ermöglichen es dem Arzt, exaktere Aussagen zum Brustdrüsengewebe zu treffen und mit geringerer Strahlenmenge zu arbeiten, als dies früher der Fall war. Mammographisch diagnostizierte Karzinome sind in der Regel kleiner als Tumoren, die bereits klinisch auffällig sind, und haben eine bessere Prognose. Mehrere Studien konnten zeigen, dass durch eine regelmäßige Mammographie-Früherkennungsuntersuchung (Screening) bei Frauen ab dem 50. Lebensjahr die Mortalität des Mammakarzinoms um mehr als 30% gesenkt werden kann. Auch bei Frauen zwischen dem 40. und 50. Lebensjahr konnte eine Reduktion der Mortalität nachgewiesen werden, diese ist jedoch geringer ausgeprägt als bei Frauen jenseits des 50. Lebensjahres. Bei jungen Frauen vor dem 40. Lebensjahr sollte eine Mammographie nur bei Vorliegen von Symptomen (z.B. Tastbefund) durchgeführt werden. Eine Ausnahme bilden Frauen, bei denen auf Grund der Familienanamnese ein deutlich erhöhtes Mammakarzinomrisiko besteht. Hier kann es sinnvoll sein, im Rahmen eines intensivierten Früherkennungsprogramms bereits ab dem 30. Lebensjahr eine Mammographie durchzuführen und regelmäßige Untersuchungen mit der MR-Mammographie vorzunehmen. Wenn Sie dazu Fragen haben, sprechen Sie unsere Spezialisten bitte direkt an und vereinbaren ein Beratungsgespräch.
Eine vollständige Mammographie-Untersuchung besteht in der Regel aus vier Aufnahmen. Hierbei wird jede Brust jeweils in zwei Ebenen untersucht, im cranio-caudalen (CC) und medio-lateralen schrägen Strahlengang (MLO = medio-lateral oblique). Zur besseren Charakterisierung von Befunden können Zusatzaufnahmen erforderlich sein (z.B. streng seitliche Aufnahme, Cleopatra-Technik, Vergrößerungs- und Kompressionsaufnahme). Um eine erstklassische Bildqualität zu gewährleisten und gleichzeitig mit geringstmöglicher Strahlenexposition zu arbeiten, ist es notwendig die Brust bei der Aufnahme zu komprimieren. Die speziell geschulten technischen Mitarbeiterinnen werden dies sorgfältig und schonend vornehmen, Schmerzen müssen nicht in Kauf genommen werden.
Die beiden wichtigsten Zeichen eines Mammakarzinoms in der Mammographie sind Mikroverkalkungen und Verdichtungsherde. Die Sensitivität der Mammographie ist in hohem Maße abhängig von der Dichte des Drüsenparenchyms. Während bei einer weitgehenden Drüsenkörperverfettung fast 90% der Karzinome in der Mammographie entdeckt werden, bleiben bei sehr dichtem Drüsenparenchym mehr als ein Drittel aller Karzinome zunächst unerkannt und fallen erst zu einem späteren Zeitpunkt z.B. durch einen tastbaren Knoten auf. Daher ist in diesen Fällen die ergänzende Ultraschalluntersuchung besonders wichtig. Ggf. kann Ihnen auch eine spezielle ergänzende Untersuchung in der Magnetresonanztomographie (MRM) empfohlen werden.
Die Magnet-Resonanz-Tomographie der Brust ist das Verfahren, mit dem ohne Röntgenstrahlen am genauesten Veränderungen des Brustgewebes erkannt werden können.
Die Krankenkassen übernehmen die Kosten der Untersuchung bei Patientinnen, die schon einmal an Brustkrebs erkrankt waren und bei denen jetzt die Frage nach einem erneuten Tumorwachstum im Narbenbereich auftritt. Ebenso werden die Kosten übernommen bei Patientinnen, bei denen Metastasen (Absiedlungen des Krebses im Körper) von Brustkrebs bekannt sind, der eigentliche Tumor, von dem die Metastasen ausgingen, jedoch noch nicht entdeckt wurde.
Obwohl keine weiteren Fragestellungen offiziell von den Krankenkassen zugelassen sind, ist das Verfahren noch in etlichen weiteren Fällen sinnvoll. Ein Beispiel dafür ist die Frage, ob neben einem bekannten Krebsherd noch weitere z.B. sehr kleeine bösartige Prozesse in der Brust vorhanden sind. Manchmal werden solche weiteren Herde erst durch eine präoperative MRT entdeckt. Auch bei Brustimplantaten ist die Methode eine wichtige diagnostische Ergänzung, nicht nur zur Aufdeckung von Tumoren, sondern auch mit der Frage nach einem Implantatdefekt. Auch die Therapiekontrolle bei Patientinnen, die vor einer Operation mit einer Chemotherapie behandelt werden („neoadiuvante Therapie“), sollte mit der Kernspintomographie erfolgen. Dabei zeigt sich sehr viel genauer als in der Röntgenmammographie, ob der Tumor auf die Chemotherapie anspricht.
Die Indikation zur Untersuchung in der Kernspintomographie wird bei uns im Haus von einem interdisziplinären Expertengremium, dem sog. Senologischen Arbeitskreis gestellt.
Die Datenakquisition und –auswertung in der MRM ist besonders aufwendig und erfordert spezielle Hard- und Software sowie besondere Erfahrung. Wir führen diese speziellen Techniken seit vielen Jahren mit erstklassischer Ausrüstung erfolgreich durch.
Bevor mit der Computertomographie (CT)- Untersuchung begonnen werden kann, müssen einige kleine Vorbereitungen bei Ihnen getroffen werden.
Falls bei Ihnen schon einmal eine CT- Untersuchung durchgeführt wurde, bringen Sie die Voraufnahmen zu Ihrer Untersuchung bitte mit, somit können unnötige Doppeluntersuchungen vermieden werden.
Besteht der begründete Verdacht auf eine Schwangerschaft oder können Sie diese nicht sicher ausschließen, so teilen Sie dies einer unserer Mitarbeiterinnen oder Mitarbeiter mit.
Für manche Untersuchungen ist die Gabe von Kontrastmittel notwendig.
Röntgenkontrastmittel sind Substanzen, die entweder in den Magen-Darm-Trakt oder in die Gefäße des menschlichen Körpers eingebracht werden, um die Kontrasteigenschaften von Röntgenbildern zu verändern. Theoretischer Hintergrund ist die Tatsache, dass chemische Elemente mit hoher Ordnungszahl zu einer verstärkten Absorption von Röntgenstrahlung führen. Daher wurden stabile, gut verträgliche Substanzen gesucht und ständig weiterentwickelt, die diesem Prinzip folgen. Heute kommen im Bereich des Magen-Darm-Traktes Barium- und Jodverbindungen, im Bereich der Gefäßdiagnostik ausschließlich nicht ionische Jodverbindungen als Röntgenkontrastmittel zum Einsatz.
Bariumverbindungen sind nicht wasserlöslich und dürfen daher nur im Bereich des Magen-Darm-Traktes eingesetzt werden, wenn keine Operationen in den Tagen darauf geplant sind und wenn keine Operationen im Magen-Darmbereich in den letzten Tagen vor einer Untersuchung vorgenommen wurden. Frei im Körpergewebe oder im Gefäßsystem würden diese Kontrastmittel giftige Nebenwirkungen entfalten.
Jodverbindungen sind dagegen gut verträglich und wasserlöslich, Sie können sowohl im Bereich des Magen-Darm-Traktes als auch im Bereich der Gefäßsysteme eingesetzt werden. In sehr seltenen Fällen kann es zu Unverträglichkeitsreaktionen kommen. Leichte Nebenwirkungen sind Hitzegefühl, vorübergehende Hautrötung oder kurzzeitige Übelkeit. Als schwere Nebenwirkungen können sie auch Atembeklemmungen, Schluckstörungen und so genannte anaphylaktische Reaktionen auslösen. Dabei kann es auch zu Herz- Kreislauf Stillstand kommen, Todesfälle sind in Einzelfällen beschrieben. Neben der Tatsache, dass solche Nebenwirkungen, wie bereits erwähnt, außerordentlich selten sind, dürfen Sie auch darauf vertrauen, dass Sie sich bei uns in einer radiologischen Abteilung in einem großen und maximalen versorgenden Krankenhaus befinden, wo gegebenenfalls sofort Hilfsmaßnahmen ergriffen werden könnten.
Röntgenkontrastmittel werden über die Niere aus dem Körper ausgeschieden. Ist die Niere vorgeschädigt oder nehmen Sie Medikamente ein (z.B. Metformin haltige Diabetes Präparate), die die Niere zusätzlich belasten, so müssen wir dies wissen und unser Vorgehen anpassen. Es ist daher notwendig, dass wir im Vorfeld von Kontrastmittel unterstützten Untersuchungen Näheres über ihre Nierenfunktion und ihre Medikamente erfahren. Daher sind sie gebeten, jedem Falle vor einer solchen Untersuchung die Nierenfunktion durch Abnahme des zur so genannten Kreatinin Wertes überprüfen zu lassen und eine Liste der von Ihnen eingenommenen Präparate bereit zu haben.
Des Weiteren kann das Jod, das in Röntgenkontrastmittel enthalten ist, in der Schilddrüse verstoffwechselt werden. Daher müssen vor einer Untersuchung krankhafte Zustände der Schilddrüsenfunktion ausgeschlossen werden. Dazu wird der Laborparameter TSH (Thyreoidea stimulierendes Hormon) bestimmt.
Bei der Magnetresonanztomographie oder Kernspintomographie kommen in aller Regel Kontrastmittel zum Einsatz, die auf der Basis des seltenen Erden Metalls Gadolinium ihren Wirkmechanismus entfalten. Gadolinium selbst wäre ohne ausreichende Verkapselung in stabilen Eiweißverbindungen außerordentlich giftig. Wir setzen in unserer Abteilung ausschließlich Gadolinium Kontrastmittel ein, für das noch niemals toxische Nebenwirkungen beschrieben wurden. Schwer nierenkranke Patienten sind trotzdem darauf hinzuweisen, dass Gadolinium Kontrastmittel über die Nieren langsamer ausgeschieden wird. Aufgrund der langen Verweildauer sind in Einzelfällen, allerdings nicht für die für uns verwendeten Kontrastmittel, schwere Bindegewebserkrankungen (NSF, Nephrogene systemische Fibrose) beschrieben worden. Sie werden daher vor einer Magnetresonanz tomographischen Untersuchung auch bei uns routinemäßig nach ihrer Nierenfunktion befragt werden.
Unverträglichkeitsreaktionen sind auch bei MR Kontrastmitteln möglich, allerdings noch seltener als bei den Jodverbindungen der Röntgenkontrastmittel. Mögliche Ausprägungen und auch die Behandlung sind identisch.
Dafür benötigen wir aktuelle Laborwerte der Nieren (Kreatinin) und wegen dem Jodgehalt im Kontrastmittel und deren Aufnahme in die Schilddrüse den Schilddrüsenwert TSH. Weiterhin ist es erforderlich, dass das Medikament Metformin (bei Diabetes) am Untersuchungstag sowie zwei Tage danach nicht eingenommen wird. Falls Sie bei einer Kontrastmittelgabe in der Vergangenheit schon einmal mit einer Unverträglichkeit reagiert haben, teilen Sie auch dies bitte vor der Untersuchung unseren Mitarbeitern mit.
Vor der Untersuchung mit Kontrastmittel wird Ihnen ein venöser Zugang (meist in eine Armvene) gelegt, um die Kontrastmittelgabe während der Untersuchung zu ermöglichen. Vor jeder Untersuchung mit Kontrastmittel wird ein Arzt ein Gespräch mit Ihnen führen. Falls Sie noch offene Fragen zur Untersuchung haben, werden diese vom Arzt beantwortet.
Für manche CT- Untersuchungen sind spezielle Vorbereitungen notwendig. Diese können Sie der nachfolgenden Aufstellung entnehmen.
(Darstellung des Hirnschädels, Mittelgesicht, Nasennebenhöhlen und Felsenbeine)
Bei diesen Untersuchungen ist keine spezielle Vorbereitung notwendig. Je nach Fragestellung kann die intravenöse Gabe von Kontrastmittel erforderlich werden.
Die Untersuchungsdauer ohne Kontrastmittelgabe beträgt ca. 10 Minuten, mit Kontrastmittelgabe ca. 20 Minuten.
Bei dieser Untersuchung ist keine spezielle Vorbereitung notwendig. Meist werden Sie Kontrastmittel intravenös verabreicht bekommen. Bei der Darstellung der Speiseröhre müssen Sie vor der Untersuchung auf dem Untersuchungstisch einen Becher Kontrastmittel trinken.
Die Untersuchungsdauer beträgt ca. 10 Minuten.
Je nach Fragestellung müssen Sie vor der Untersuchung Kontrastmittel trinken, damit der Magen- Darm- Bereich besser dargestellt werden kann. Die Kontrastmittelmenge beträgt meist 1 Liter, den Sie über einen Zeitraum von etwa 1 Stunde trinken müssen. Bei manchen Untersuchungen ist die Gabe von Kontrastmittel über eine Vene (zusätzlich) erforderlich. Manche Erkrankungen erfordern auch eine Kontrastmittelgabe über den Enddarm, hierfür müssen Sie zu Hause keine besonderen Vorbereitungen treffen. Dabei wird Ihnen über ein Darmrohr ein Liter verdünntes jodhaltiges, vorgewärmtes Kontrastmittel verabreicht, nachdem der Arzt den Enddarm untersucht hat.
Die Untersuchungsdauer beträgt zwischen 20 Minuten bis 90 Minuten bei oraler Kontrastmittelgabe.
Bei Untersuchungen vom Becken sind keine speziellen Vorbereitungen notwendig. Nur selten wird auch eine intravenöse Kontrastmittelgabe erfolgen. Manche Erkrankungen erfordern eine Kontrastmittelgabe über den Enddarm, hierfür müssen Sie zu Hause aber keine besonderen Vorbereitungen treffen. Dabei wird Ihnen über ein Darmrohr ein Liter verdünntes jodhaltiges vorgewärmtes Kontrastmittel verabreicht, nachdem der Arzt den Enddarm untersucht hat.
Die Untersuchungszeit beträgt ca. 10-20 Minuten.
Wir benötigen von Ihnen die aktuellen Blutwerte „Kreatinin“ (Nierenfunktion) und „TSH“ (Schilddrüsenfunktion) sowie ein aktuelles EKG.
Wir bitten Sie, vor der Untersuchung nichts zu sich zu nehmen, was den Herzschlag beschleunigt, wie zum Beispiel Kaffee, Tee und Cola. Das gilt auch für Nikotin, deshalb bitten wir Raucher, vor der Untersuchung nicht zu rauchen. Ansonsten ist nichts zu beachten.
Falls Sie Medikamente benötigen, können Sie diese wie gewohnt einnehmen.
Die Entscheidung, ob bei Ihnen eine Gewebeprobe entnommen bzw. eine Drainage angelegt wird, entscheidet sich prinzipiell erst nach der Durchführung einer diagnostischen CT oder MRT des betreffenden Organs. Wenn die diagnostische Untersuchung an anderer Stelle durchgeführt wird bzw. wurde, müssen Sie die Bilder der Voruntersuchung bitte bei uns abgeben, damit die Intervention geplant werden kann. Für die Punktion benötigen wir aktuelle Laborwerte für die Blutgerinnung (Quick, INR, PTT). Unter Umständen ist es auch im Rahmen des Eingriffs erforderlich, dass Kontrastmittel verabreicht wird. Für alle Eingriffe müssen Sie am Untersuchungstag nüchtern sein. So früh wie möglich, spätestens am Tag vor dem Eingriff findet ein Arztgespräch statt. Falls Sie noch offene Fragen zur Untersuchung haben, werden diese vom Arzt beantwortet.
Die Dauer eines CT gestützten Eingriffs richtet sich nach dem zu punktierenden Organ und dauert ca. 30 Minuten. In der Regel werden Sie eine örtliche Betäubung erhalten und evtl. zusätzlich mit schmerzstillenden und/oder sedierenden Medikamenten vorbehandelt werden. Solche Eingriffe werden meist unter stationären Bedingungen vorgenommen, um Sie ausreichend nachbeobachten zu können. Bei ambulanten Eingriffen werden Sie nach dem Eingriff mindestens vier Stunden überwacht werden, bevor Sie nach Hause dürfen. In solchem Fall empfehlen wir dringend, nicht selbst ein Fahrzeug zu führen, weil Sie möglicherweise durch den Eingriff selbst oder die dabei verabfolgten Medikamente in Ihrer Fahrtüchtigkeit eingeschränkt sind.
Für die virtuelle Koloskopie muss bei Ihnen vor der Untersuchung eine gründliche Darmreinigung mit Abführmittel und Trinken von größeren Mengen Wasser durchgeführt werden. Manchmal ist es notwendig ein Medikament zu spritzen, welches die Darmbewegung herabsetzt (Buscopan ®).
Nach Verabreichung dieses Medikamentes ist die Fahrtüchtigkeit für 3-4 Stunden eingeschränkt. Außerdem kann es zu metallischen Geschmacksempfindungen kommen. Zu beachten ist auch, dass dieses Medikament nicht bei stark vergrößerter Prostata und bei Glaukom (Grüner Star) eingenommen werden darf. In diesem Fall informieren Sie uns bitte darüber. Wir haben die Möglichkeit, Ihnen dann ein anderes Medikament, GlucaGen ®, zu verabreichen, bei der es wiederum zu Wissen gilt, dass Sie kein Diabetiker sind.
Danach dürfen Sie nicht mehr aktiv am Straßenverkehr teilnehmen. Bei dieser Untersuchung ist eine Kontrastmittelgabe erforderlich.
Die Untersuchung dauert ca. 20 Minuten.
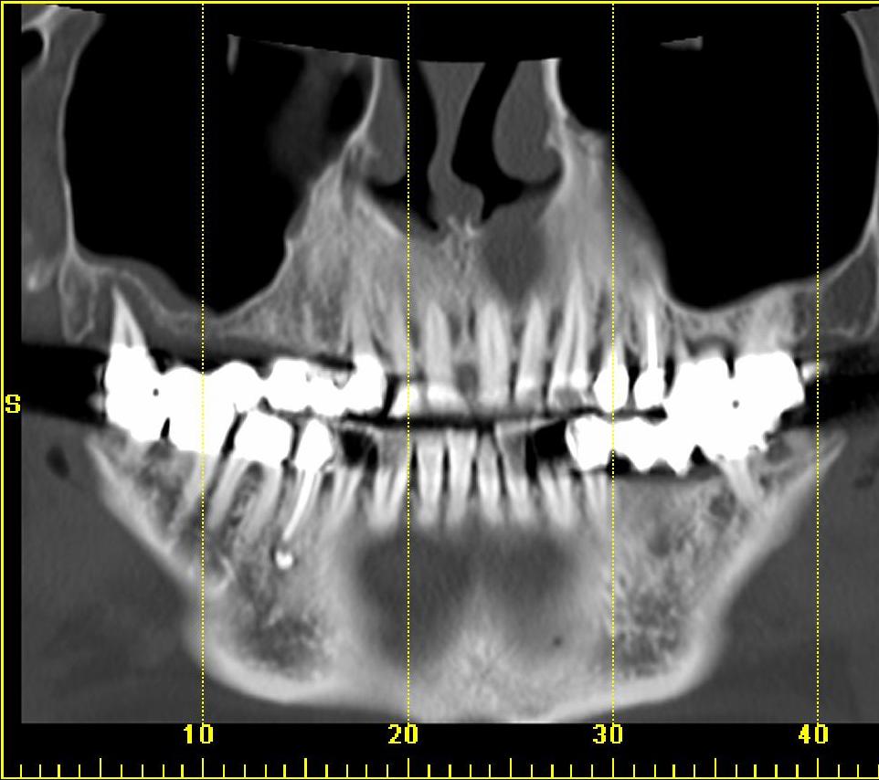
Die Dental-CT bietet im Vergleich zum konventionellen Orthopantomogramm (OPG) die Option der artefakt- und überlagerungsfreien Dentalrekonstruktion in jeglicher Ebene. Die Strahlenbelastung ist sicher höher als bei OPG und DVT, die diagnostische Wertigkeit ist jedoch auch höher. Das Röntgenverfahren reicht bei mangelnder Dreidimensionalität nicht für alle präoperative Fragestellungen, das DVT ist nur für knöcherne Hochkontrastbildgebung geeignet.
Indikationen zur Dental-CT sind dagegen alle Fragen im Bereich von Mund und Mittelgesicht wie Raumforderungen, Entzündungen, retinierte Zähne, angeborene Dysplasien, Diagnostik vor kieferchirurgischen Eingriffen, Zahnextraktionen oder Implantaten und Kontrollen nach therapeutischen Eingriffen. Für Kinder und Jugendliche besteht die Möglichkeit der Dosisreduktion.
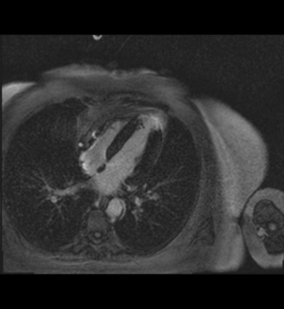
Das Klinikum Ludwigshafen verfügt über einen Kardio-CT der neuesten Generation: Das 128-Zeilen-Gerät ermöglicht eine äußerst präzise Untersuchungsmethode zur Darstellung der Herzkranzgefäße des schlagenden Herzens.
Die koronare Herzerkrankung (KHK) ist eine der häufigsten Erkrankungen in der westlichen Welt. Bei dieser Erkrankung führen Kalkablagerungen an der Gefäßwand (Arteriosklerose) zur Verengung des betroffenen Gefäßes. Diese Engstellen (Stenosen) vermindern die Blutversorgung des Herzmuskels. Kommt es mit dem Fortschreiten der KHK zum Gefäßverschluss, entsteht ein Herzinfarkt.
Die Computertomografie des Herzens (Kardio-CT) ist eine Methode, die frühen Stadien der KHK zu erkennen, bzw. eine KHK mit an Sicherheit grenzender Wahrscheinlichkeit ausschließen zu können.
Sehr gut geeignet ist die Kardio-CT für Patienten mit folgenden Befunden:
- uncharakteristische Brustschmerzen und niedrige oder mittlere Wahrscheinlichkeit für eine KHK (z.B. leichtes Übergewicht, etwa 45 bis 65 Jahre alt, früher mal geraucht usw.)
- uncharakteristische Brustschmerzen und nicht eindeutige oder grenzwertige Belastungsuntersuchung
- angeborene Veränderungen der Herzkranzgefäße (sog. Koronaranomalien)
- Bestimmung der Kalklast (sog. Calcium-Score) beim Patienten ohne Symptome, um das Risiko für das Entstehen einer KHK zu bestimmen
Nicht geeignet ist diese Methode für Patienten mit folgenden Befunden:
- herztypische Brustschmerzen und eine hohe Wahrscheinlichkeit für KHK
- unregelmäßiger Herzschlag (sog. Herzrhythmusstörungen, z.B. Vorhofflimmern, Extrasystolie usw.)
- sehr schneller, aber regelmäßiger Herzschlag (Sinustachykardie) in Ruhe
- Unvermögen, die Luft für ungefähr 10 Sekunden anzuhalten
- Allergie auf jodhaltige Kontrastmittel
- deutlich eingeschränkte Funktion der Nieren (sog. Niereninsuffizienz III-IV)
Prinzipiell ist die Kardio-CT eine Computertomografie (CT), also eine Röntgenuntersuchung, bei der die Röntgenröhre spiralartig um den Patient rotiert. Das Besondere ist die enorme Leistungsfähigkeit der CT, bei der mehrere, sehr dünne Schichten pro Umdrehung gleichzeitig aufgenommen werden.
In Ludwigshafen verwenden wir einen CT der neuesten Generation der Firma Siemens, mit dem wir 128 Schichten pro Umdrehung aufnehmen. Auf diese Weise lässt sich das gesamte Herz mit nur vier bis fünf Umdrehungen erfassen. Für Sie bedeutet das, dass wir Ihre Herzkranzgefäße in der derzeit bestmöglichen Auflösung und mit geringst möglicher Strahlenbelastung darstellen können.
Die eigentliche Untersuchung dauert also nur wenige Sekunden. Wir bitten Sie aber, insgesamt etwa 1,5 Stunden einzuplanen, da die Vorbereitung, das Erstellen des Befundes und die Besprechung des Befundes mit Ihnen mehr Zeit benötigt als die Untersuchung selbst.
Vor der Untersuchung messen wir Ihren Puls. Sollte der Puls schneller als 65 Schläge pro Minute betragen, geben wir Ihnen einen kurz wirksamen Betablocker, um einen Zielpuls von etwa 60 Schlägen pro Minute zu erreichen. Dazu muss Ihnen eine Verweilkanüle gelegt werden, die auch später zur Kontrastmittelinjektion verwendet wird.
Um die Herzkranzgefäße überhaupt sehen zu können, bekommen Sie etwa 70 ml eines Kontrastmittels (Imeron) in eine Armvene injiziert.
Das Kontrastmittel wird in der Regel sehr gut vertragen. Viele Patienten verspüren ein Wärmegefühl während der Injektion, was vollkommen harmlos ist. Selten treten allergische Reaktionen durch das Kontrastmittel auf und sehr selten kann durch das Kontrastmittel eine Nierenfunktionsstörung oder eine Schilddrüsenüberfunktion ausgelöst werden. Bei bekannter Allergie auf Kontrastmittel, Nierenfunktionsstörung oder Schilddrüsenüberfunktion ist jeweils eine spezielle Vorbereitung nötig, bzw. kann die Untersuchung nicht durchgeführt werden.
Auf dem Untersuchungstisch werden EKG-Elektroden angeschlossen. Dadurch kann sich der CT an Ihren individuellen Herzschlag anpassen.
Während der wenige Sekunden dauernden, eigentlichen Untersuchung müssen Sie kurz die Luft anhalten. Das ist nötig, da das Herz genau auf dem großen Atemmuskel, dem Zwerchfell, liegt und daher beim Atmen stark auf und ab bewegt wird.
Wir benötigen von Ihnen die aktuellen Blutwerte „Kreatinin“ (Nierenfunktion) und „TSH“ (Schilddrüsenfunktion) sowie ein aktuelles EKG.
Wir bitten Sie, vor der Untersuchung nichts zu sich zu nehmen, was den Herzschlag beschleunigt, wie zum Beispiel Kaffee, Tee und Cola. Das gilt auch für Nikotin, deshalb bitten wir Raucher, vor der Untersuchung nicht zu rauchen. Ansonsten ist nichts zu beachten.
Falls Sie Medikamente benötigen, können Sie diese wie gewohnt einnehmen.
Die Befundbesprechung mit einem Arzt erfolgt in der Regel etwa 15 Minuten nach der Untersuchung.
Sollten Sie einen Betablocker erhalten haben, bitten wir Sie, noch weitere 30 Minuten bei uns zu bleiben.
Ihr Arzt erhält einen schriftlichen Befund innerhalb weniger Tage. Die abschließende Befundung erfolgt im Ludwigshafener Klinikum in enger Kooperation zwischen Radiologie und Kardiologie, sodass wir Ihnen eine herausragende Expertise zur Verfügung stellen können.
Wir bitten Sie zu beachten, dass die Untersuchung mit dem Kardio-CT nicht zum Leistungsumfang der gesetzlichen Krankenkassen gehört.
Die Abrechung erfolgt nach der Gebührenordnung für Ärzte (GOÄ). Die Koronarkalkbestimmung allein kostet etwa 100 €. Eine vollständige CT-Untersuchung der Herzkranzgefäße beträgt etwa 550 €.
|
OA Dr. med. univ. Martin Stempel |
0621 503-0 stempelm@klilu.de |
|
oder über das Sekretariat von Prof. Dr. Alexander Bunck |
0621 503-4501 |
|
OA Dr. Anselm-K. Gitt |
0621 503-2944 gitta@klilu.de |
|
oder über das Sekretariat von Prof. Dr. Ralf Zahn |
0621 503-4001 |
Die Kernspintomographie (Magnetresonanztomographie ( MRT), NMR) erzeugt, ähnlich der Computertomographie Schnittbilder des menschlichen Körpers. Sie benötigt im Gegensatz zu der Computertomographie keine Röntgenstrahlen, sondern lediglich ein starkes Magnetfeld und Radiowellen. Das physikalische Prinzip ist schon seit 1946 bekannt, seit Beginn der 80er Jahre wird es auch als diagnostisches Verfahren in der Medizin verwendet.
Atomkerne besitzen eine spezielle physikalische Eigenschaft, die als Kernspin bezeichnet wird. In der MRT werden die "magnetischen" Drehachsen der Wasserstoffkerne des Körpers durch ein sehr starkes Magnetfeld ausgerichtet. Mit Hilfe von Radiowellen mit einer genau definierten Frequenz, der sog. Resonanzfrequenz lassen sich die ausgerichteten Wasserstoffkerne selektiv beeinflussen. Das MRT Signal eines bestimmten Gewebes wird hauptsächlich durch den Gehalt an Wasserstoffkernen sowie den speziellen chemischen und physikalischen Eigenschaften des Gewebes geprägt.
Die Untersuchungen können bedenkenlos wiederholt werden. Dennoch gibt es durch das permanente Magnetfeld unsichtbare Gefahren und vor allem Kompatibilitätsprobleme mit z.B. medizinischen Geräten und Implantaten, wie Herzschrittmachern. Auch medizinische Werkzeuge wie Reflexhammer u.ä. stellen eine Gefahr am MRT dar, da sie durch das extrem starke Magnetfeld zum Zentrum des Geräts hin beschleunigt werden und den Patienten gefährden könnten. Eine Sicherheitseinweisung zum fachgerechten Umgang am MRT ist Pflicht für jede(n) Mitarbeiter(in) unseres Klinikums, die ihre Patienten zur MRT begleiten bzw. selber Zugang zum Scannerraum benötigen oder gar das Gerät bedienen wollen. Ein kurzer Videoclip soll Ihnen verdeutlichen dabei, welche Gefahren für Patienten und für jede andere anwesende Person (MTRA, Arzt) bestehen können, wenn das medizinische Fachpersonal nicht ausreichend geschult ist.
Allgemein ist es daher bei allen Untersuchungen wichtig, jegliche metallischen Gegenstände zu entfernen wie z.B. Zahnersatz, Schmuck, Uhr und Haarspangen. Eine spezielle Schutzkleidung ist für die MRT nicht erforderlich. Trotzdem werden Sie aufgefordert werden, sich bis auf die Unterwäsche zu entkleiden und Klinikkleidung anzulegen, um sicher zu stellen, dass sich kein Metall in der Kleidung befindet. Feste Zahnimplantate können in der MRT in der Regel untersucht werden. Bei anderen metallischen Implantaten (künstliche Gelenke, Metallplatten nach Knochenbrüchen, etc.) muss im Einzelfall über die MRT-Tauglichkeit entschieden werden. Im Zweifelsfall empfehlen wir eine Rücksprache mit einem unserer Ärzte in der Magnetresonanztomographie, der Ihnen gerne Auskunft geben wird, ob bei Ihnen eine solche Untersuchung unbedenklich durchgeführt werden kann.
Da bei den meisten Untersuchungen eine Kontrastmittelgabe erforderlich ist, ist es wichtig, dass uns aktuelle Blutwerte - Kreatinin und GFR - vorliegen. Eine Forderung vor Kontrastmittelinjektion nüchtern zu sein, besteht bei uns nicht.
Wichtig ist es uns, dass jeder Patient genau über die anstehende Untersuchung aufgeklärt wurde und einen hierfür vorgesehen, speziellen Aufklärungsbogen unterschrieben hat. Wurde dem Patienten noch kein venöser Zugang (Infusionsnadel) auf Station gelegt, wird dies gegebenenfalls in unserer Abteilung geschehen.
Durch ständige Veränderung des Magnetfeldes während der Untersuchung „klopft“ das Gerät; um diese Geräusche zu dämpfen, erhalten unsere Patienten einen Kopfhörer oder Ohrstöpsel. Eine Untersuchung dauert im Mittel ca. 20 bis 30 Minuten. Aus konstruktionstechnischen Gründen befindet sich der Patient während der Untersuchung in einer relativ engen Röhre, dies kann bei Patienten mit Platzangst eine Untersuchung erschweren. Während der Untersuchung kann sich der Patient jederzeit über eine Klingel bemerkbar machen, eine Gegensprechanlage erhält die Kommunikationsmöglichkeit mit der MTRA bzw. dem Arzt aufrecht. Patienten mit Platzangst können wir auf Wunsch ein beruhigendes Medikament verabreichen. Bedenken Sie bitte, dass Sie nach solchen Maßnahmen nicht mehr am Straßenverkehr teilnehmen können! Untersuchungen in Narkose sind nur für schwerstkranke stationäre Patienten möglich.
Viele Teile des menschlichen Körpers (zum Beispiel Knorpel, Sehnen, Bindegewebe und Muskulatur oder auch unterschiedliche Gebiete des Gehirns) weisen nur sehr geringe Dichteunterschiede auf und lassen sich deshalb mit der Computertomographie nur ungenügend voneinander unterscheiden. Unter anderem durch ihren unterschiedlichen Gehalt an Wasserstoffkernen lassen sich diese Gewebe in der MRT jedoch sehr gut beurteilen. Die Möglichkeiten der MRT gehen jedoch weit über die "einfache" Darstellung von Körperregionen hinaus. Die kontinuierliche Weiterentwicklung der MRT-Technik erschließt ständig neue Einsatzmöglichkeiten, eine vollständige Beschreibung aller Anwendungsmöglich-keiten würde den Rahmen dieser Seiten bei weitem sprengen! Hingewiesen werde soll auf die besondere Bedeutung der Diffusionsgewichten Sequenz für die frühe Schlaganfalldiagnostik und die Charakterisierung tumoröser Raumforderungen und die nicht-invasive Gefäßdarstellung, die sog. MR-Angiographie.
Der Vorteil der MRT aus medizinischer Sicht liegt nicht nur in der hohen Qualität der Weichteildarstellung, sondern auch in der Tatsache, daß ohne Umlagerung des Patienten jede beliebige "Schnittebene" dargestellt werden kann und das Verfahren ohne Röntgenstrahlung auskommt.
Die Untersuchung im MRT findet im Liegen statt, entsprechend der zu untersuchenden Körperregion wird der Patient mit Kopf oder Füßen voran positioniert. Häufig werden hierbei starre oder flexible "Spulen" unmittelbar oder nahe am Patienten befestigt. Diese Spulen dienen als Antennen, die die Signale aus dem Körper auffangen und an den Rechner weiterleiten. Die Anbringung der Spulen schränkt die Bewegungsfähigkeit und den Patientenkomfort weiter ein, verbessert aber massiv das diagnostische Ergebnis.
Bei den einzelnen Untersuchungen gilt jeweils eine spezielle Untersuchungsvorbereitung, um eine optimale Bildqualität zu erzielen.
Bei der Darstellung des Darms ist es wünschenswert, dass der Darm nicht zu stark verunreinigt ist. Spezielle Abführmaßnahmen sind nur bei der MR-Kolographie nötig, einer Untersuchung des Dickdarms. Auch in allen anderen Fällen ist es jedoch von Vorteil, wenn der Patient nüchtern ist und möglichst seit dem Mittag des Vortags nur Flüssigkeit (Tee, Mineralwasser, Suppe) zu sich genommen hat.
Der Patient bekommt ca. eine Stunde vor Untersuchungsbeginn 1l Kontrastmittel zum Trinken. Diese leicht zähflüssige mit Geschmacksstoffen, z.B. Zitrone, Cola etc. angereicherte Flüssigkeit sollte sehr gleichmäßig getrunken werden. Bei der sog. MRCP (einer Darstellung der Gallenwege und/oder der Bauchspeicheldrüse) wird ab ca. 20 Minuten vor Untersuchungsbeginn 0.5 l eisenhaltiges Kontrastmittel getrunken.
Untersuchungen des Enddarms erfordern gelegentlich auch einen kleinen Einlauf, der dem Patienten von einem Arzt direkt vor der Untersuchung nach einer orientierenden Enddarmaustastung verabreicht wird.
Bei Untersuchungen des Darmtraktes verabreichen wir den Patienten zusätzlich, je nach Fragestellung, vor der Untersuchung Buscopan ®, welches den Darm ruhig stellt.
Nach Verabreichung dieses Medikamentes ist die Fahrtüchtigkeit für 3-4 Stunden eingeschränkt. Außerdem kann es zu metallischen Geschmacksempfindungen kommen. Zu beachten ist auch, dass dieses Medikament nicht bei stark vergrößerter Prostata und bei Glaukom (Grüner Star) eingenommen werden darf. In diesem Fall informieren Sie uns bitte darüber. Wir haben die Möglichkeit, Ihnen dann ein anderes Medikament, GlucaGen ®, zu verabreichen, bei der es wiederum zu Wissen gilt, dass Sie kein Diabetiker sind.
Gegen Ende der Untersuchung wird eine geringe Menge Kontrastmittel über die Vene gespritzt.
Wichtig ist es hier, jeglichen Schmuck und evtl. Zahnteile zu entfernen. Auch starkes Augen-Make-Up sollte entfernt werden.
Ganz wichtig ist es hier, dass evtl. Zahnersatz entfernt wird.
Hier ist keine spezielle Vorbereitung von Nöten.
Die Patientin muss den Oberkörper im Untersuchungsraum ganz freimachen. Eine exakte Lagerung in Bauchlage ist hier besonders wichtig. Der Oberkörper wird direkt auf, die beiden Brüste, die immer im Seitenvergleich untersucht werden, direkt in die Spule hineingelagert und ausgepolstert. Da im Rahmen der Bildnachverarbeitung die Bildserien vor der intravenösen Kontrastmittelgabe von denen danach subtrahiert werden, ist es besonders wichtig, vollständig ruhig zu liegen, um keine Subtraktionsartefakte zu erhalten, die die Bildauswertung erschweren oder unmöglich machen.
Hier ist keine spezielle Vorbereitung von Nöten.
Hier ist keine spezielle Vorbereitung von Nöten.
Hier ist keine spezielle Vorbereitung von Nöten.
Bei einer angiografischen Untersuchung werden Gefäße und ihre krankhaften Veränderungen dargestellt. Dies erfolgt als sogenannte Digitale Subtraktionsangiografie (DSA). Häufig werden die diagnostischen Maßnahmen heute durch Ultraschallverfahren, Computertomographie oder Magnetresonanztomographie im Vorfeld ergänzt und die Eingriffe auf Gefäßerweiterungen (PTA, Stent) begrenzt. Durch den minimal invasiven Eingriff mit Stichpunktion ist diese Art der Untersuchung risikoarm und ersetzt oftmals eine Operation und verkürzt so einen Krankenhausaufenthalt. Rein diagnostische Untersuchungen dieser Art können sogar ambulant durchgeführt werden, das heißt, Sie werden im Krankenhaus nach dem Eingriff noch 4-6 Stunden überwacht und gehen bei Wohlbefinden noch am selben Tag nach Hause.
In der Sprechstunde (Dienstag 14-16 Uhr und arbeitstgl., nach Vereinbarung bei interner Zuweisung) werden Sie im Vorfeld so früh wie möglich, spätestens aber am Vortag des Eingriffs über die Untersuchung aufgeklärt. Je nach Fragestellung und anatomischer Gegebenheit werden Sie meist an der Leiste, seltener am Oberarm in ein Blutgefäß punktiert. Vorher wird diese Stelle örtlich betäubt. Durch die sehr dünne Punktionsnadel wird ein ebenso dünner, flexibler Draht und darüber ein Katheter in das Gefäß eingeführt. Über diesen Katheter werden die Gefäße mittels Kontrastmittel in Röntgentechnik dargestellt.
Während der Kontrastmittelinjektion empfinden Sie ein Wärmegefühl, das ist normal und verschwindet nach einigen Sekunden wieder. Die Darstellung der Gefäße und ihrer Veränderungen dauert nur wenige Minuten. Eingriffe mit therapeutischen Maßnahmen dauern natürlich länger.
Nachdem der Katheter entfernt wird, muss die Punktionsstelle verschlossen werden. Dazu werden entweder spezielle Verschlusssysteme benutzt oder die Punktionsstelle wird für etwa fünfzehn Minuten manuell komprimiert oder mit speziellen Verschluss Systemen versorgt. Anschließend wird ein Verband angelegt, den Sie erst nach 24 Stunden abnehmen sollen. Die Bettruhe nach der Untersuchung beträgt vier bis acht Stunden.
Sie sollten nach der Untersuchung ausreichend trinken, damit das Kontrastmittel schnell aus dem Körper ausgeschieden wird.
Bei angiographischen Untersuchungen ist eine ausreichende Gerinnungsfähigkeit des Blutes unabdingbar, da - wie oben beschrieben - Gefäße mit hohem Druck punktiert werden. Bei unzureichender Blutgerinnung verzögert sich der Verschluß der Punktionswunde, ausgedehnte Blutungen könnten die Folge sein. Aus diesem Grunde müssen aktuelle Laborwerte des Gerinnungssystems (Quick, PTT, Thrombozyten) zum Untersuchungszeitpunkt vorliegen. Gleichzeitig sollten Laborwerte der Nierenfunktion bestimmt sein (Kreatinin). Sollte es Probleme mit der Ausscheidungsfunktion der Nieren geben, kann dies eine Kontrastmittelgabe mitunter verbieten bzw. ein spezielles Vorgehen erfordern. Weiteres hierzu unter "Kontrastmittel in der Radiologie".
Spätestens am Tag vor der Untersuchung wird ein Arzt der Radiologie mit Ihnen die geplante Untersuchung in aller Ruhe besprechen. In diesem Gespräch wird Sie der Arzt u.a. nach evtl. bereits früher durchgeführten Gefäßdarstellungen mit Röntgenkontrastmitteln und nach dem Vorliegen bestimmter Erkrankungen befragen und Ihnen für Ihre Fragen zur Verfügung stehen.
Vor Untersuchungsbeginn wird eine Venenverweilkanüle in eine Armvene eingelegt. Durch einen derartigen "venösen Zugang" wird ermöglicht, daß Ihnen zu jeder Zeit Medikamente oder Infusionen verabreicht werden können. Dies kann z.B. in seltenen Fällen bei Übelkeit, übergroßer Angst, Kreislaufreaktionen u. a. erforderlich werden. Häufig werden Sie zusätzlich an eine Überwachungseinheit angeschlossen, mit der ständig Puls, Blutdruck, der Sauerstoffgehalt des Blutes u.a. kontrolliert werden können.
Für die Durchführung der Angiographie sind keimfreie Arbeitsbedingungen erforderlich. Haare im Bereich der Punktionsstelle werden entweder bereits auf der Station oder unmittelbar vor der Untersuchung rasiert, da sich hier eine hohe Keimanzahl befindet. Nach Desinfektion mit einem Alkoholspray werden Sie mit keimfreien (sterilen) Tüchern abgedeckt, der Kopf und die Punktionsstelle bleiben frei. Der untersuchende Arzt trägt wie bei einer Operation einen sterilen Kittel und Handschuhe.
Für die örtliche Betäubung wird über eine sehr dünne Nadel etwa 20 ml eines betäubenden Medikamentes unter die Haut und neben die Arterie gespritzt. Dies kann zuweilen ein kurzzeitig brennendes und drückendes Gefühl verursachen. Sobald die Betäubung wirkt, wird mit einem Skalpell ein Schnitt von wenigen mm Länge gemacht, der später selbständig ohne Naht verheilt. Über diesen Schnitt wird anschließend eine Nadel eingeführt und in die Arterie eingelegt. Durch die liegende Nadel wird ein weicher, biegsamer Draht (Führungsdraht) eingebracht. Dann wird die Nadel entfernt und anschließend ein Kunststoffröhrchen (Schleuse) über den Draht in die Arterie vorgeführt. Die Schleuse besitzt an seiner äußeren Seite ein Ventil, welches das Auswechseln verschiedener Katheter ermöglicht. Durch die Schleuse wird nun über den einliegenden Führungsdraht ein spezieller Katheter eingeführt, dessen Lage unter Röntgen-Durchleuchtung kontrolliert werden kann. Führungsdraht und Katheter lassen sich anschließend durch Vorschieben und Drehen an die gewünschte Stelle des Gefäßsystems dirigieren.
In festgelegten Abständen werden nun Röntgenaufnahmen der zu untersuchenden Region angefertigt, meist 2 Bilder pro Sekunde. Während dieser "Aufnahmeserie" wird Kontrastmittel in einer vorher festgelegten Menge und Injektionsgeschwindigkeit maschinell über den liegenden Katheter gespritzt. Ein Rechnersystem vergleicht anschließend die Bilder mit Kontrastmittel mit den ersten Aufnahmen ohne Kontrastmittel (siehe oben unter "digitale Subtraktionsangiographie"). Vorraussetzung für eine gute Gefäßdarstellung ist hierbei eine möglichst vollständige Bewegungsruhe des Patienten. Jede Bewegung führt zu einer fehlerhaften Bildsubtraktion, d.h. zum "Verwackeln" des Bildes. Bewegungen kommen jedoch auch unwillentlich durch Atmung, Herzschlag und Darmaktivität vor, deshalb erfolgen die meisten Aufnahmeserien in Atemstillstand, also während des "Luftanhaltens" des Patienten. Bei ausgeprägter Darmbewegung ist eventuell eine medikamentöse Ruhigstellung des Darmes notwendig (Buscopan oder Glucagon)
Je nach Art der Untersuchung sind mehrere Aufnahmeserien unterschiedlicher Gefäße erforderlich, so daß die Untersuchungszeit sehr variieren kann (zwischen etwa 30 Minuten und etwa 2 Stunden). In seltenen Fällen, insbesondere bei angiographischen Interventionen, kann die Untersuchung jedoch auch mehrere Stunden betragen.
Am Ende der Untersuchung wird zunächst der Katheter, anschließend die Schleuse entfernt. Die Schleuse dichtet während der Untersuchung das "Loch" in der Schlagader ab. Damit es nach Entfernung der Schleuse nicht zu einer größeren Blutung kommt, muß die Punktionsstelle für etwa 10 Minuten, zum Teil auch deutlich länger, abgedrückt werden. Anschließend wird ein Druckverband angelegt, der über mehrere Stunden - zum Teil auch über Nacht - verbleiben muß, zudem wird Bettruhe, über einen individuell festgelegten Zeitraum, verordnet.
Ein Taubheitsgefühl im Bereich des vorderen Oberschenkels hängt in der Regel mit der örtlichen Betäubung zusammen und verschwindet nach wenigen Stunden selbständig.
Es gibt eine Reihe von möglichen Komplikationen, die direkt im Zusammenhang mit der Katheteruntersuchung stehen:
Der Abdrückvorgang, der Druckverband und die Einhaltung der Bettruhe sind für eine unkomplizierte Wundheilung wichtig. Trotz entsprechender Vorsorge sind in einzelnen Fällen Blutergüsse (Hämatome) nicht zu vermeiden. In seltenen Fällen stellen diese Blutergüsse eine behandlungswürdige Komplikation dar. In bis zu 3% aller Fälle ist eine Transfusion von Blutkonserven oder eine operative Vernähung der Wunde erforderlich. Dies tritt insbesondere bei Patienten auf, deren Blutgerinnung beeinträchtigt ist.
Sehr selten sind Gefäßverschlüsse im Bereich der Punktionsstelle (0,5%) oder eine bleibende Verbindung zwischen Arterie und Beinvene, eine arterio-venöse Fistel (0,1%). In bis zu 2% aller Fälle kann es durch den Katheter oder den Führungsdraht zu einer Verletzung der Arterienwand kommen (Dissektion). Kleinere Verletzungen verheilen meist folgenlos, gegebenenfalls unter medikamentöser Unterdrückung des Gerinnungssystems. In extrem seltenen Fällen ist eine Operation oder eine weitere Angiographie mit Stabilisierung des Gefäßes (Stent) nötig.
Sehr selten ist die Verschleppung kleiner Blutgerinnsel (Embolie), die sich an der Katheterspitze gebildet haben oder von der Gefäßwand gelöst wurden (0,5%). Die hieraus resultierenden Probleme hängen von der Größe und dem Ort der Embolie ab. Kleinere Embolien werden in der Regel nicht bemerkt oder lösen sich selbständig auf. Größere Embolien können zum vollständigen Verschluß einer kräftigen Arterie führen, so daß das nachfolgende Gewebe nicht mehr genügend mit Sauerstoff und Nährstoffen versorgt wird. Dies äußert sich unter anderem durch starke Schmerzen und muß sofort behandelt werden (medikamentöse Auflösung, Entfernung über einen Absaugkatheter oder operativer Eingriff). Eine Embolie im Bereich der Gefäße, die für die Versorgung des Kopfes zuständig sind, kann zu einem Schlaganfall mit tödlichem Ausgang oder zu bleibenden Lähmungen (z. B. Halbseitenlähmung) führen.
- Gefäßdarstellung aller Gefäßregionen des Körpers außerhalb des Herzens in Digitaler Subtraktionsangiografie
- Erweiterung von Gefäßengen (Dilatation, PTA) einschließlich Stentimplantation in allen Körperregionen einschließlich der Halsschlagader (A. carotis) und auch intrazerebraler Gefäße
- Gefäßverschluss (Embolisation) bei Blutungen, Gefäßmissbildungen (AVM), blutenden Tumoren oder z.B. Uterusmyom
- Auflösung von Blutgerinseln (Lysetherapie) und mechanische Entfernung von Blutpfropfen auch im Gehirn
- Minimal invasive Behandlung von Erweiterungen der Hauptschlagader (Aortenaneurysma), (in Zusammenarbeit mit der Klinik für Gefäßchirurgie, Chir Kl B)
- Spezielle Tumortherapien (Chemoembolisation (TACE), Chemoperfusion (TACO) insbesondere der Leber
- Venendiagnostik (Phlebografie)
- Entfernung von Fremdkörpern aus den Gefäßen
- Minimal invasive Einpflanzung von sog. Portsystemen über Armvenen
- Einpflanzung von Ernährungssonden
- Gelenkembolisationen bei chronischen Gelenkschmerzen (TAPE - transarterielle periartikuläre Embolisation)
- Embolisation bei gutartiger Vergrößerung der Prostata - benigne Prostatahyperplasie (PAE - Prostataarterienembolisation) in Zusammenarbeit mit der Urologischen Klinik
- TIPSS-Anlage und Revision bei Patienten mit Leberzirrhose und assoziierten Komplikationen (TIPSS - transjuguläre intrahepatischer portosystemischer Stentshunt)
Die lokale Chemotherapie der Leber (TACE) ist ein minimal invasives, radiologisches Verfahren, mit dem man zwar keine endgültige Heilung erreichen kann, was aber durch eine gezielte Behandlung am Ort der größten Not zu einer Verlängerung der Lebenserwartung und Tumorkontrolle führen kann. Indikationen für die TACE sind in der Regel inoperable Hepatozelluläre Karzinome (HCC) oder spezielle Fälle von Lebermetastasen.
Bei dem Verfahren macht man sich zu nutzen, dass die Leber durch zwei unterschiedliche Gefäßsysteme ernährt wird: zum einen über die Arterie hepatica, zum anderen über die so genannte Pfortader. HCC werden vorwiegend über die Arterie hepatica mit sauerstoffreichem Blut versorgt, während die gesunde Leber vorwiegend über die Pfortader ernährt wird. Die gezielte Behandlung über die Arterie hepatica ermöglicht also eine direkte Tumorbehandlung unter größtmöglicher Schonung der gesunden Leberabschnitte. Eine solche Behandlung wird in der Regel alle zwei bis vier Wochen wiederholt und so lange fortgeführt, wie eine Wirksamkeit besteht und der Zugang über die Gefäße gewährleistet ist.
Unter lokaler Betäubung wird im Bereich der Leistenarterie (Arterie femoralis) ein dünner Katheter eingeführt, der unter Röntgenkontrolle direkt in die Arterie hepatica vorgeführt wird. Die Spitze des Katheters sollte so nahe wie möglich an die zu behandelnden Tumoren herangeführt werden. Dazu kann es notwendig sein, weitere Kathetersysteme, so genannte Mikrokatheter einzusetzen. Der Umgang damit erfordert Erfahrung und Geschick. Insbesondere beim ersten Eingriff kann für die exakte Katheterpositionierung einige Zeit benötigt werden. Ist die Zielposition erreicht, wird eine Mischung aus Chemotherapeutikum und Embolisationsmaterial verabfolgt. Sowohl im Bereich der Medikamente als auch der Embolisate können in Abhängigkeit vom Krankheitsbild verschiedene Substanzen zum Einsatz kommen.
Prinzipiell sind lokale Chemotherapien besser verträglich und können mit höherer Konzentration an Medikamenten durchgeführt werden als solche, die über die Venen ungezielt in den gesamten Körper eingebracht werden. Dennoch ist auch hier mit Nebenwirkungen zu rechnen. Allerdings ist das so genannte Postembolisationssyndrom (Schmerzen, Fieber, Übelkeit, Schüttelfrost) heute durch gezielte Vorbehandlung und schonende Verfahrenstechniken sehr viel seltener, als man dies früher beobachten musste.
Für das HCC und für die Metastasen so genannter neuroendokriner Tumoren ist der Erfolg des Verfahrens wissenschaftlich belegt, für andere Tumoren und ihre Metastasen ist die Datenlage inhomogen. Bitte wenden Sie sich direkt an unsere Spezialisten, wenn Sie nähere Informationen oder Spezielles zu ihrer Erkrankungssituation erfahren möchten.
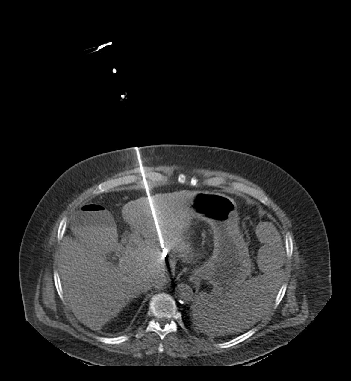
In der Klinik für Diagnostische und Interventionelle Radiologie und Nuklearmedizin wird die lokale perkutane Tumorablation durch Radiofrequenzablation oder Mikrowellenablation durchgeführt. Dabei handelt es sich um Verfahren, bei denen in einem vorher definierten Bereich des Körpers Gewebe durch die Zufuhr von großer Hitze zerstört wird. Klassischstes Beispiel ist die lokale Zerstörung einer bösartigen Raumforderung. In den erwünschten Zielgebieten entstehen sog. Hitzenekrosen oder Koagulationsnekrosen. Antrieb für die starke Hitzeentwicklung ist eine Form von Hochfrequenzstrom bzw. ein Mikrowellengenerator, ähnlich dem Verfahren wie es heute auch beim Veröden von Gefäßen im Rahmen von Operationen genutzt wird. Oberstes Ziel ist es, eine möglichst große Koagulationsnekrose zu erzeugen, ohne dabei dem restlichen Organismus in irgendeiner Weise zu schaden. Wir verwenden für die Radiofrequenzablation bei uns ein System mit sehr dünnen Aufspreizelektroden und einem leistungsstarken 460 Kilohertz-Generator (Video). Bei diesem technischen Verfahren erreicht man Spitzenleistungen von 250 Watt. Der Mikrowellenablator stimuliert Wassermoleküle. Dabei entsteht kinetische Reibung und Hitze, die das Gewebe verkocht. Verschiedene Wellenlängen erzeugen einen unterschiedlichen Wirkungsradius und damit auch einen unterschiedlichen Hitzeradius.
Etwa 2,5 cm bis 3,5 cm große Gewebsbereiche lassen sich pro Elektrodenposition mit beiden Varianten zerstören. Nach etwa einer Viertelstunde ist das Gewebe im Bereich der eingebrachten Ablationssonde vollständig zerstört. Während einer Ablation wird mit Hilfe einer computertomographischen Untersuchung stets die Lage der Sonde kontrolliert, um eine Zerstörung von gesundem Gewebe zu vermeiden.
Die größte Bedeutung kommt der Behandlung bösartiger Geschwülste in der Leber zu. Seltener geht es dabei um die Zerstörung eines lebereigenen Primärtumors, meist um die Zerstörung von Metastasen. Beim lebereigenen Hepatozellulären Karzinom wird das Verfahren vor allem dann angewendet, wenn das Risiko einer Operation durch die meist zugrunde liegende fortgeschrittene Lebererkrankung (Leberzirrhose) zu hoch ist. Das Verfahren besitzt gegenüber einer offenen Operation einige Vorteile:
- minimal-invasive Technik ohne ausgedehnte Operationswunde und dadurch verkürzte Rekonvaleszenz
- die Behandlung kann ohne besonderes zusätzliches Gesundheitsrisiko mehrmals wiederholt werden
- Schonung von umliegendem, gesundem Gewebe
Natürlich gibt es auch Nachteile gegenüber der Operaton:
- Das zerstörte Gewebe verbleibt als große Narbe im Körper. Dadurch besteht ein Infektionsrisiko und es gibt keine verlässliche Prüfung, ob der Tumor vollständig zerstört wurde und mit welchem Sicherheitsabstand.
- Aus demselben Grund ist das Risiko eines Wiederauftretens des Tumors (lokales Rezidiv) etwas höher als bei der Operation.
In unserem Haus wird in einer Konferenz der verschiedenen beteiligten Fachbereiche (Onkologie, Chirurgie, Radiologie) in jedem Einzelfall entschieden, welches Verfahren welchem Patienten empfohlen wird.
Seltenere Einsatzbereiche der lokalen Ablationsverfahren sind Knochentumoren, Lungentumoren, Nierentumoren und Mammatumoren.
Mögliche Komplikationen der Punktion sind Blutungen, Blutergüsse, sehr selten auch operationspflichtige Blutungen, Infektionen, Abzesse, Verletzung von Nachbarorganen und ein sogenannter Pneumothorax, das heißt Luft im Rippenfell-Spalt, welche ggf. eine Drainageeinlage (Bülaudrainage) notwendig macht. Blutungen sind sehr selten, weil der Kanal der Nadel wie der Tumor selbst durch Hitze im Rückzug verschorft wird. Schmerzen werden bei und nach dem Eingriff im Wesentlichen nicht wahrgenommen, weil wir im Regelfall mit einer Mischung aus Allgemein- und Lokalanästhesie unterstützt werden.
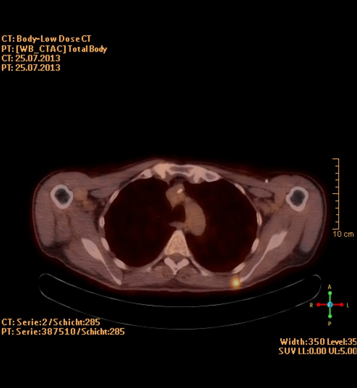
Die PET/CT ist in der Medizin derzeit die modernste zur Verfügung stehende bildgebende Untersuchung in der Diagnostik von Tumorleiden. Sie ermöglicht oft, sehr kleine Herde früher als mit anderen Verfahren wie Kernspintomographie (MRT) oder alleiniger Computertomographie (CT) zu entdecken. Ein besonderer Vorteil des Verfahrens besteht in der Kombination zweier bildgebender Verfahren, die sich perfekt ergänzen. Durch die CT Technik können Körperregionen und mittlerweile auch der gesamte Körper als vollständiger, lückenloser Datensatz erfasst werden. Dadurch entstehen Bilder in bis dahin ungeahnter Schnelligkeit und Qualität. Im PET werden im Gegensatz zum CT in erster Linie funktionelle Stoffwechselvorgänge im Körper dargestellt. Dazu wird Ihnen radioaktiv markierter Zucker (Glucose) in minimaler Menge in eine Vene injiziert. Die Verteilung im Körper wird mit einer speziellen Kamera (PET/CT-Scanner) gemessen, die Schnittbilder des Körpers gewinnt.
Die Glucose wird mit dem Radionuklid Fluor-18 markiert, das eine Halbwertzeit von 110 min hat. Das bedeutet, dass alle 2 Stunden die Radioaktivität um die Hälfte abnimmt. Zusätzlich wird innerhalb der ersten 2 Stunden ein Großteil der Radioaktivität über den Urin ausgeschieden. Insgesamt ergibt sich daraus eine durchschnittliche Strahlenbelastung von 6 mSv. Durch die PET wird also das Doppelte der natürlichen jährlichen Strahlenbelastung verursacht.
Zusammen mit der PET wird in der gleichen Untersuchung eine Computertomographie (CT) durchgeführt. Je nach Fragestellung und wenn schon Voraufnahmen vorhanden sind, wird das CT meist als Niedrig-Dosis CT ohne Röntgenkontrastmittel gefahren, d.h. mit niedriger Strahlenbelastung aber eingeschränkter Erkennbarkeit von anatomischen Details.
Ein Hybridgerät zwischen PET und CT in 64-Zeilen Technik wie am Klinikum Ludwigshafen kombiniert also in idealer Weise die detailgerechte hoch ortsaufgelöste Abbildung morphologischer und funktioneller Krankheitsaspekte insbesondere im Bereich der Onkologie.
- Die Termine müssen aus organisatorischen Gründen für den frühen Morgen zwischen 7:45 Uhr und 8:30 Uhr vereinbart werden.
- Bitte planen Sie für die Untersuchung insgesamt ca. 2- 3 Stunden Zeit ein.
- Sie sollten ab 22 Uhr des Vortages, oder mindestens 6 Stunden vor Beginn der Untersuchung nüchtern bleiben. Wasser, ungesüßter Tee oder Kaffee sind erlaubt und empfohlen..
- Falls Sie Diabetiker sind und Insulin spritzen, müssen Sie, da Sie nüchtern bleiben, die Insulindosis verringern. Bitte ggf. Rücksprache.
- Sonstige Medikamente sollten Sie mit Wasser oder ungesüßtem Tee einnehmen.
- Bitte warm anziehen. Die Räume müssen aufgrund der technischen Bedingungen gekühlt sein und sie dürfen nicht frieren. Zusätzliche Decken stehen bei uns zur Verfügung.
- Auswärtige Befunde, insbesondere CD `s mit CT- oder MRT Untersuchungen oder Röntgenbilder bitten wir Sie unbedingt mitzubringen.
- Nach einem Informations- und Aufklärungsgespräch spritzt der Arzt Ihnen die radioaktiv markierten Zucker in die Vene. Die Glucose muss sich in einer Ruhezeit von 50 min im Körper verteilen. Erst danach erfolgt zuerst die CT, direkt anschließend die Aufnahmen mit der PET-Kamera. Die beiden Untersuchungen zusammen dauern ca. 20 Minuten. Während der Untersuchung sollten Sie ruhig atmen und sich möglichst wenig bewegen.
Der Einsatz des PET/CT ist bei einer Vielzahl von Indikationen, insbesondere bei Tumorerkrankungen sinnvoll. In Deutschland gibt es aber sehr eingeschränkte Möglichkeiten zur Kostenübernahme durch gesetzliche Krankenkassen. In welchem Fall die Untersuchungskosten übernommen werden, erfragen Sie bitte direkt bei Ihrer Krankenkasse. Eine Beratung im Vorfeld kann durch den Hausarzt oder ggf. auch durch uns erfolgen.
Natürlich können Sie eine PET/CT- Untersuchung auch als Selbstzahler in Anspruch nehmen. Allerdings muss auch hierfür selbstverständlich eine medizinisch gerechtfertigte Indikation vorliegen. Bitte lassen Sie sich durch uns beraten!
Die Cholin- PET bei (Verdacht auf) Prostatakarzinom gehört nicht zum Leistungskatalog der gesetzlichen Krankenkassen. Bitte erfragen Sie Selbstzahlerkosten oder die Möglichkeit der Erstattung durch Privatkassen direkt bei uns.
Für Rückfragen und Terminvereinbarungen wenden Sie sich bitte an die 0621 503-4525 oder formulieren Sie Ihre Anfrage per Mail an petct@klilu.de
Aussagen über die Gefährdung durch Röntgenstrahlung basieren im Wesentlichen auf statistischen Berechnungen, sind also Wahrscheinlichkeitsabschätzungen. Da in der radiologischen Medizin allerdings nur verhältnismäßig geringe Strahlendosen verwendet werden, lässt sich deren Auswirkung auf den menschlichen Körper statistisch kaum erfassen. Hierzu müssten ca. 10 Millionen Menschen über 50 Jahre beobachtet werden. Daher werden bekannte Auswirkungen bei deutlich höheren Strahlendosen einer Berechnung zu Grunde gelegt. Bekannt sind die Auswirkungen der Atombombenabwürfe über Hiroshima und Nagasaki sowie von Atomwaffentestversuchen und von Arbeiten unter erhöhter "natürlicher" Strahlenbelastung (z.B. im Uranerzbergbau). Man geht von einem linearen Verlauf der Gefährdung aus. Man nimmt also an, dass eine Verdopplung der Strahlendosis zu einer Verdopplung des Risikos einer Gesundheitsschädigung führt, eine Halbierung zu einer Halbierung.
Röntgenstrahlen sind eine Form von elektromagnetischen Wellen wie z.B. auch das sichtbare Licht oder Radio- und Fernsehwellen. Im Gegensatz zum Licht ist Röntgenstrahlung jedoch wesentlich energiereicher, es ist in der Lage chemische Bindungen aufzubrechen. Wird ein Körper Röntgenstrahlung ausgesetzt, geht ein geringer Teil der Energie der Röntgenstrahlen auf den Körper über, wobei Körperzellen prinzipiell geschädigt werden können, und es sind auch Schäden der Erbsubstanz (DNA) möglich. Schäden der DNA der Keimzellen (Eizelle, Spermien) führen u.U. zu vererbbaren Erkrankungen, Schäden der DNA der Körperzellen können zu Krebserkrankungen führen. 99,9% der DNA-Schäden werden durch körpereigene Reparaturmechanismen beseitigt. Nicht alle Körperzellen reagieren jedoch gleich empfindlich auf Röntgenstrahlen. Eine hohe Strahlenempfindlichkeit weisen z.B. blutbildendes Knochenmark, Dickdarm, weibliche Brust und Lunge auf.
Die Belastung durch Röntgenstrahlen hängt also sowohl von der Höhe der Strahlendosis als auch vom Ort der Bestrahlung ab! Aus diesem Grunde wird bei Dosisabschätzungen bei Faktoren gewichtet. Über komplizierte Rechnungen läßt sich eine vergleichbare effektive Dosis berechnen, die in Millisievert pro Jahr (mSv/a) angegeben wird. Täglich sind wir einer natürlichen Strahlenbelastung ausgesetzt, die sich aus Kosmischer Strahlung, Erdstrahlung, natürlicher Radoninhalation und Aufnahme natürlicher radioaktiver Stoffe aus der Nahrung zusammensetzt. Diese natürliche Strahlenbelastung summiert sich im Jahr auf 2,4 mSv. Die sog. Zivilisatorische Strahlenbelastung von ca. 2,5 mSv/a ergibt sich dagegen fast ausschließlich durch die Anwendung radioaktiver Stoffe und ionisierender Strahlung in der Medizin. Die Strahlenbelastung in der Medizin hat somit einen nicht unerheblichen Anteil an der gesamten Strahlenbelastung der Bevölkerung, der weitaus größte Anteil entfällt hierbei jedoch auf wenige, schwerkranke Patienten.
Wenn man über die Strahlenbelastung durch diagnostische Maßnahmen spricht, wird man häufig nach einprägsamen Vergleichen befragt. Hier dazu einige Zahlen:
|
Die durchschnittliche Strahlenbelastung durch das Reaktorunglück in Tschernobyl in Deutschland lag 1990 bei |
0,025 |
mSv/a |
|---|---|---|
|
10 stündige Flugreise |
0,1 |
mSv/a |
|
Zunahme der kosmischen Strahlenbelastung |
0,6 |
mSv/a |
|
Regionaler Unterschied der natürlichen Strahlung innerhalb von Häusern in Deutschland |
0,6 |
mSv/a |
Die oben aufgeführten Beispiele können Ihnen als Vergleichsmaßstab für die folgende Auflistung von Röntgenuntersuchungen dienen. Eine jährlich einmalige Röntgenuntersuchung der folgenden Untersuchungsart führt zu einer zusätzlichen effektiven Dosis:
|
Zahnuntersuchungen: |
0,02 |
mSv |
|
|---|---|---|---|
|
Röntgenaufnahme: |
Schädel |
0,2 |
mSv |
|
Mammographie: |
(Film-Folien-System) |
0,5 |
mSv |
|
Computertomographie: |
Schädel |
2 |
mSv |
|
Angiographie (DSA): |
Herz (Herzkatheter) |
5 |
mSv |
Aus den obigen Zahlen kann man errechnen, dass die Risiken, durch eine einmalige Röntgenuntersuchung im Laufe des Lebens an einer strahleninduzierten Krebserkrankung zu versterben, in Relation zu anderen Risiken extrem gering ist. Dieses Risiko ist bei Röntgenuntersuchungen der Lunge vergleichbar mit dem innerhalb der nächsten 10 Jahre vom Blitz erschlagen zu werden, bei einer CT des Körperstamms mit dem, innerhalb der nächsten 10 Jahre an einem Verkehrsunfall zu versterben. Ein solches Risiko besteht generell nur für jüngere Menschen, da es viele Jahre dauert bis eine strahleninduzierte Krebserkrankung auftritt. Für die Leukämie (Blutkrebs) geht man von 15 Jahren, für andere Krebsformen von 40 Jahren Latenz aus.
Da jede nicht notwendige Strahlenexposition selbstverständlich trotzdem vermieden werden sollte, darf die Empfehlung zur Durchführung einer Röntgenuntersuchung nur von speziell geschulten Ärzten mit einer sog. Fachkunde im Strahlenschutz gegeben werden. Mögliche alternative Verfahren wie Ultraschall oder Kernspin(Magnetresonanz)tomographie (MRT) müssen dabei mit bedacht werden. Größtmögliche Sicherheit gibt Ihnen die Untersuchung beim speziell in allen diesen Verfahren ausgebildeten Radiologen.
Die Ausstellung eines Röntgenpasses gibt Ihnen einen Überblick über Ihre persönlichen Röntgenuntersuchungen und verhindert unnötige Doppeluntersuchungen! Einen solchen Pass erhalten Sie in unserer Klinik für Diagnostische und Interventionelle Radiologie und Nuklearmedizin oder bei Ihrer Krankenkasse.

